A Message From the President

Education is a core mission of the American Brachytherapy Society and the past few months have been a great demonstration of this. We partnered with ARRO/ASTRO to run the first resident brachytherapy workshop at the ASTRO annual meeting. With over 100 residents participating and engaged I’d say it was a great success! A special thank you to Drs. Kristin Bradley, Marisa Kollmeier, Christine Fischer, Allison Garda, Shane Neibart, and Mustafa Basree. We also held an excellent joint Gyn/Prostate school in Palm Desert. Ten residents received a Brian Moran Foundation scholarship, five received scholarship support from Isoray and five from the ABS to attend the meeting. Feedback from attendees said the hands-on components were super helpful and something that you can’t get at other meetings. We are grateful to our sponsors who recognize the importance of supporting the next generation of brachytherapists. We know finances is a barrier to resident exposure/training in brachytherapy and the ABS is 100% committed to helping. A special thank you to the chairs of the schools: Drs. Junzo Chino, Christine Fischer, and Martin King


Our Education Committees continue to deliver. We’ve had high quality webinars and two excellent resident-led journal clubs. In case you missed them, visit the webinars page. Special thanks to Drs. Kristin Bradley, Stella Lymberis, Emily Weg, Sasha Embrahimi, Brad Eckelmann, Kelly Becht, and Bethel Adefres.


The committees are also producing helpful papers for residents. Please take a moment to review our two new technical reports. Special thanks to Drs. Zohaib Sherwani and Ulysses Gardner.   




Our collaboration with other societies continues to remain strong. We recently published 3 papers with the Society of Gynecologic Oncology (special thanks to Dr. Junzo Chino) on setting standards for the management of cervical cancer.  The ABS is also assisting with speakers for a virtual brachytherapy lecture series through the Help Ukraine Group (HUG) (special thanks to Dr. Nataliya Kovalchuk) and the first Latin American Masterclass in brachytherapy (special thanks to Dr. Alvaro Martinez). 


Please save the date for our upcoming annual meeting Lights, Camera, Precision! Brachytherapy as the future of interventional oncology that’s going to be taking place in Los Angeles June 17-20th. The meeting co-chairs (Marisa Kollmeier, Michael Folkert, and Mahta McKee) have started planning and if you have suggestions for speakers/session please reach out to them. While it might not be true for most people, presenting at an ABS meeting and getting to go to a World Cup game in one trip sounds like a pretty good bucket list item to cross off the list!


Finally, starting January 1st, 2026 the ABS will be changing management companies from Virtual Inc. to the Pomerene Management Group (PMG). I don’t anticipate any changes to the membership from this transition. 


Thank you for the time and energy so many of you are giving to this society. I’m inspired by our growing activities and improving resident engagement. There is always more to be done, and I welcome anyone who wants to get involved.


Thank you for all you do.


Warm regards,



Mitch Kamrava, MD, MHDS

President

American Brachytherapy Society

Mitchell.Kamrava@cshs.org


Follow Us on

Twitter

@AmericanBrachy

LinkedIn

@american-brachytherapy-society

Instagram

@americanbrachytherapy

ARRO Day

September, 2025

GYN and Prostate Workshop

October, 2025

LATAM Masterclass Launches with Record Attendance and Incredible Momentum

Andrew Farach, MD


The inaugural LATAM Brachytherapy Masterclass made history this month, bringing together an extraordinary 350 attendees from 15 countries across Latin America for a dynamic, fully packed educational program and hands-on workshop. From the moment the doors opened, the energy was unmistakable—brimming with enthusiasm, collaboration, and a shared commitment to advancing brachytherapy and interventional radiation oncology throughout the region.

 

Participants engaged with a robust program featuring expert-led sessions, case-based learning, and hands-on discussions designed to elevate clinical practice across a broad range of disease sites. Attendees also had the opportunity to connect directly with ABS leadership, including Dr. Juanita CrookDr. Andrew FarachKayla Kafka-PetersonDr. Ramiro Pino and Dr. Alvaro Martinez.

 

We extend our sincere appreciation to the outstanding organizing team—Dr. David Martinez, Dr. Lina Loiza, and Kayla Kafka-Peterson—whose dedication turned this vision into reality. A special and emphatic acknowledgment goes to Dr. Alvaro Martinez, whose leadership and forward-thinking vision laid the foundation for this first-ever, immensely successful Masterclass.

 

As we reflect on the success of this inaugural event, the ABS is more committed than ever to deepening collaboration with our colleagues throughout Latin America. We look forward to continuing this partnership with the goal of establishing the LATAM Masterclass as an annual congress, fostering continued growth in brachytherapy and interventional radiation oncology across the Americas.

 


Clinical Trials & Research Highlights From ASTRO 2025


  • Final results from this randomized study in early rectal adenocarcinoma compared EBRT with a contact brachytherapy boost. The contact therapy boost demonstrated significantly higher long‑term organ preservation rates (59% vs. 81%). Ben Dhia S, et al. – OPERA Trial


  • Phase III trial in high‑risk prostate cancer evaluating moderate hypofractionation (68 Gy/25 fractions) versus standard fractionation (46 Gy/23 fractions), both followed by HDR brachytherapy boost (15 Gy × 1) with ADT. The HDR boost cohort experienced reduced Grade 1+ and Grade 2+ GI toxicity. Niazi TM, et al. – PCS VI Trial


  • A multi‑institutional registry of 484 Stage I endometrioid endometrial cancer patients treated with adjuvant brachytherapy alone found that MMR status was the strongest prognostic factor for locoregional recurrence‑free survival. Hathout L, et al. – Endometrial Cancer Registry Analysis


  • Phase III randomized trial of 94 cervical cancer patients receiving brachytherapy as part of chemoradiation. PEG hydrogel placement after EBRT and before brachytherapy increased rectal separation and reduced rectal dose. Yan J, et al. – PEG Hydrogel in Cervical Cancer


Consensus Statements, Guidelines & Technical Reports


  • ABS Education Committee Technical Report: A Resident’s Guide to Evaluation of Prostate HDR Brachytherapy Treatment Plans https://pubmed.ncbi.nlm.nih.gov/40316210/


  • ABS Education Committee Technical Report: A Resident’s Guide to Evaluation of Prostate LDR Brachytherapy Treatment Plans https://pubmed.ncbi.nlm.nih.gov/41165635/


  • ABS Consensus Guidance: Hybrid Intracavitary–Interstitial Brachytherapy for Locally Advanced Cervical Cancer https://pubmed.ncbi.nlm.nih.gov/40447530/


  • Evidence‑Based Consensus Statement: HDR Brachytherapy Boost with EBRT for Localized Prostate Cancer https://pubmed.ncbi.nlm.nih.gov/40707306/


  • Multi‑Society Practice Parameter: Radioembolization of Liver Malignancies (ACR‑ABS‑ACNM‑ARS‑SIR‑SNMMI) https://pubmed.ncbi.nlm.nih.gov/40899409/


  • Multi‑Society Consensus Statement: Minimum Quality Care Standards for Cervical Cancer in Support of WHO Elimination Goals https://pubmed.ncbi.nlm.nih.gov/40947175/


  • ABS Consensus Statement: Rectoprostatic Gel Spacer Use https://pubmed.ncbi.nlm.nih.gov/40976759/

ABS 2026 Annual Conference

The American Brachytherapy Society is delighted to invite you to our 2026 Annual Conference in Los Angeles, June 17–19. With World Cup matches taking place in the city around the same time, there’s no better opportunity to balance work and play!



Our theme, "Lights, Camera, Precision! Brachytherapy as the Future of Interventional Oncology," celebrates your commitment to evidence-based innovation, patient-centered care, and the collaborative spirit that defines our field.  


This year's program offers immersive learning through plenaries, case‑based panels, and hands‑on sessions, while also creating meaningful opportunities for in‑person collaboration for clinicians, physicists, dosimetrists, nurses, therapists, trainees, researchers, and industry partners. The conversations you start here will inform your work and advocacy throughout the year. If you’re interested in being center stage and showcasing your work, submit your abstract today.


Lastly, if your schedule permits, do not miss the World Cup matches in Los Angeles on June 15,18, and 21st!  


Customized Rotte-Y/Ovoids Applicator for Locally Advanced

Cervical Cancer 


Mustafa Basree, DO, MS and Kristin Bradley, MD

University of Wisconsin-Madison


A 38-year-old woman with 1 year history of menometrorrhagia and prior abnormal Pap was found to have FIGO stage IIB moderately-differentiated, HPV-associated, cervical squamous cell carcinoma. Her disease had extensive involvement of the myometrium, parametria, and vagina without nodal involvement (Figures 1A-B). On speculum exam, the cervix was flush with the upper vagina and replaced by friable, irregular, tissue with a visible os. Bimanual exam demonstrated a 5 cm cervical mass with extension to the anterior and left vaginal fornices, and left parametrial extension on rectovaginal exam.


Given the extent of disease, she was recommended and ultimately treated with definitive external-beam radiotherapy (EBRT) and concurrent weekly cisplatin (40 mg/m2 IV) followed by four fractions of high-dose-rate (HDR) cervical brachytherapy. EBRT was delivered to the pelvis and at regional nodes to 45 Gy, followed by HDR brachytherapy, 4 fractions of 7 Gy each to the cervical high-risk clinical tumor volume (HR-CTV), delivered twice-weekly. Serial exams during EBRT showed early response. Repeat pelvic MRI in week 4 confirmed tumor response but with residual disease (Figure 2).


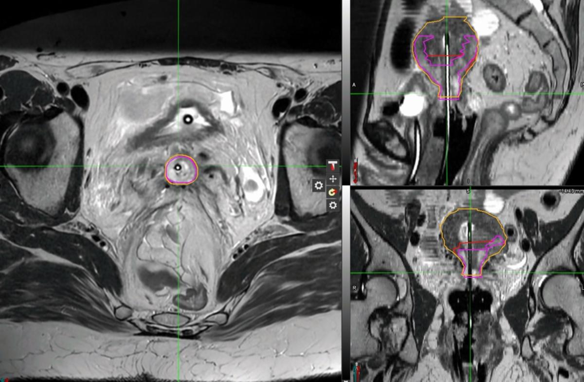
At the time of first brachytherapy, exam under anesthesia demonstrated an irregular cervix without gross exophytic disease. After sounding to 7 cm, a 15-degree MRI/CT-compatible uterine tandem (Elekta, Geneva) was placed under ultrasound guidance with 25 mm semilunar ovoids/colpostats were selected. In anticipating needing to cover disease beyond tandem and ovoids, six interstitial catheters were pre-loaded into the guide tubes which were then attached to the appropriate positions in the ovoids. The ovoids/colpostats/guide tubes/interstitial catheters were advanced into the vaginal fornices, and the colopostats were secured to the tandem to achieve appropriate geometry. A rectal paddle was placed under the ovoids. A locking mechanism was placed. Patient was then imaged with CT in the brachytherapy suite to appropriately advance interstitial catheters in desired positions. Three (2 medial and 1 left lateral posterior) interstitial catheters were advanced 4-5 cm depending on their position. Following confirmation of placement with repeat CT, patient was transferred to MRI scanner where images were obtained, confirming appropriate positioning of the applicators and packing (Figure 3A).


MRI images were then used for brachytherapy planning, and were fused to her CT to assist with catheter reconstruction. The uterus measured approximately 6-6.5 cm left-to-right, with the tandem centered in the uterine cavity (Figures 3B-E). Given this, tandem was likely not going to adequately cover the entirety of residual GTV in the myometrium without excessive hotspots. An individualized plan delivering 7 Gy per fraction was optimized to balance target coverage and normal-tissue sparing, using four channels (tandem x1, ovoids x2, and interstitial needle x1). The rest of the interstitial catheters were not used as they did not improve the plan. Some of the tandem dwell positions were loaded 92 to 130.5 seconds, extending lateral coverage with doses up to 187% of prescription dose (13 Gy). Reasonable coverage was achieved with 91.5% HR-CTV V90% (Table 1).

 

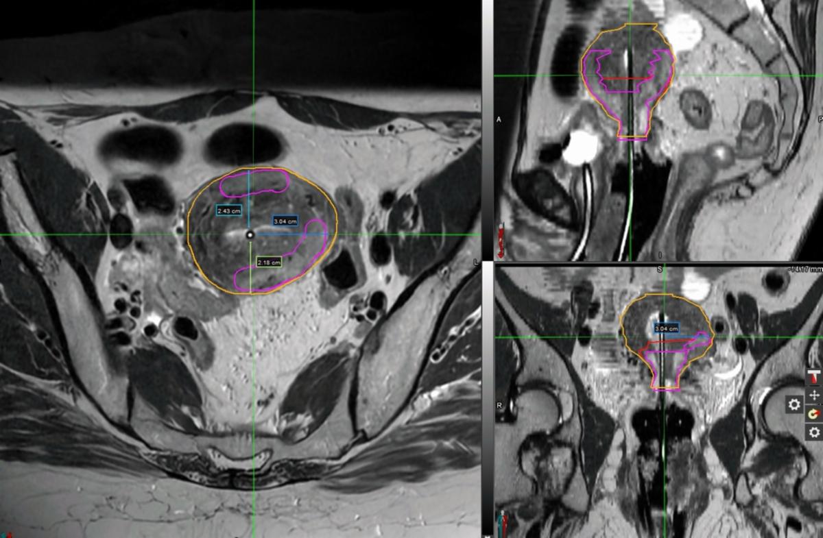
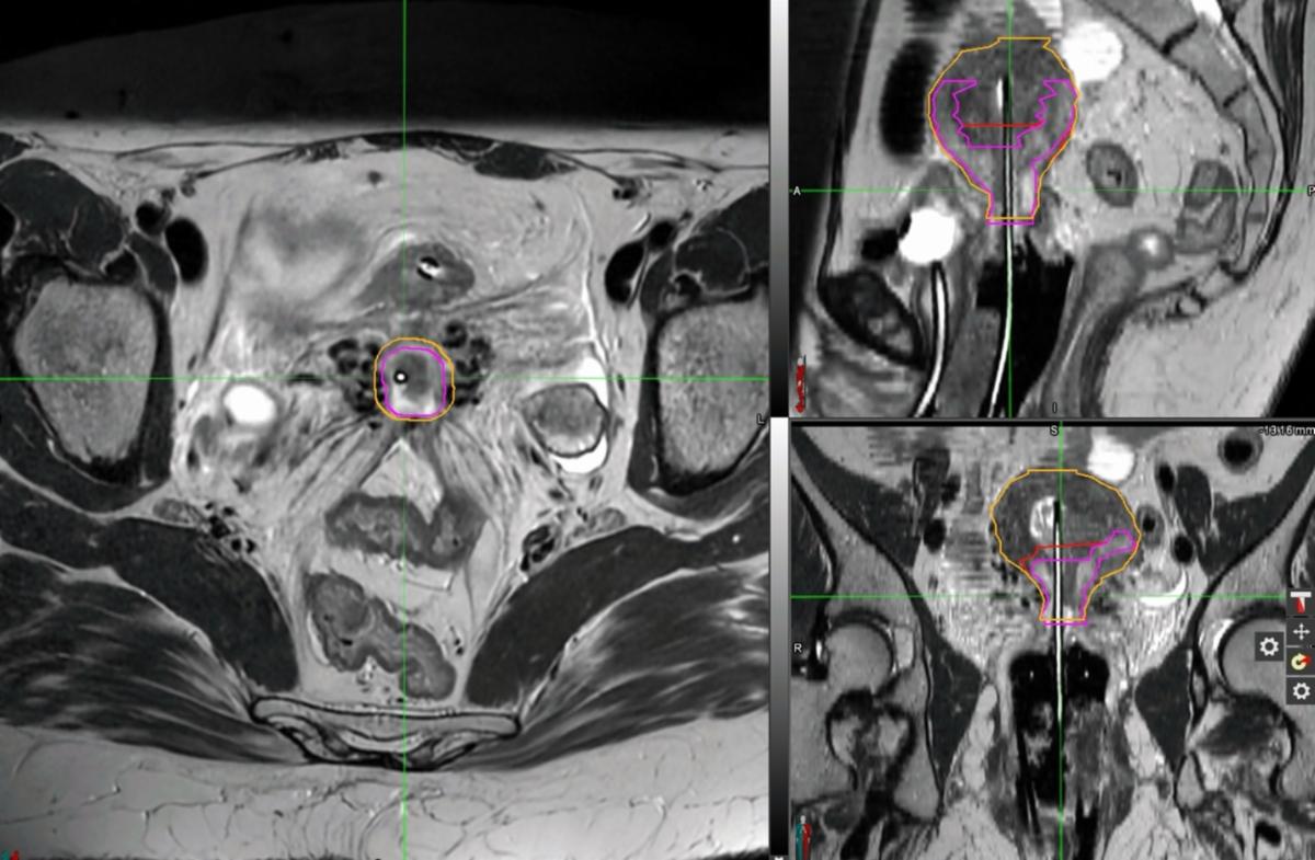
For the second fraction, due to uterine size and myometrial involvement, a 3 cm Rotte-Y applicator was used instead of a uterine tandem. Interstitial needles were omitted to minimize risk of bleeding and tissue damage, and the fact that there was no significant residual parametrial disease. The dual tandems of the Rotte Y applicator were rotated into position, and secured together, confirmed with ultrasound. Similar to fraction #1, 25 mm MRI/CT-compatible ovoids were selected and assembled onto colpostats. The ovoids/colpostats were advanced into the vaginal fornices, and the 2 tandems of the Rotte Y were centered between the ovoids. The colpostats were secured together with a simple bridge. A rectal paddle was placed under the ovoids. Wet Kerlix gauze packing was placed to help displace the bladder and rectum and to secure the applicators. The Rotte Y applicator and the colpostats were secured together with foam tape. Since Rotte-Y applicator is not MRI-compatible, she underwent high-quality CT to be used for planning and reconstruction, and were fused to the MRI from her fraction to assist with GTV and HR-CTV delineation. This plan proved to be dosimetrically superior with improvement in HR-CTV V90% (91.5% to 97.8%), HR-CTV D90 (6.5 to 7.4 Gy, 13.9%), HR-CTV D98 (5.1 Gy to 6.3 Gy, 23.5%). This was also associated with improvement in bladder (-9%), bowel (-10.9%), and rectal (-1.3%) D2cc, though with increase in sigmoid dose given the anatomy that day (+14.4%).


Given optimal dosimetry and target coverage, customized Rotte-Y/ovoids/colpostats applicator set was used for subsequent fractions. Figures 4A-B summarize fraction by fraction change in target coverage and OAR doses, with specific doses listed in Table 1. She tolerated treatments exceptionally well with no apparent procedural complications.



Conclusion

This case highlights the adaptability of brachytherapy to customize applicator geometry to patient anatomy and disease distribution. We previously reported the first use of this approach in 2014 for a patient with a septate uterus and locally advanced cervical cancer.1 Although technically more complex than standard intracavitary or interstitial techniques, this method provides a safe, efficient, and effective alternative for challenging anatomic presentations.


References

1.          Platta CS, Wallace C, Gondi V, et al. Cervical brachytherapy technique for locally advanced carcinoma of the cervix in a patient with septate uterus. J Contemp Brachytherapy. 2014;6(1):76-81. doi:10.5114/jcb.2014.40768

4/2023: Salvage HDR brachytherapy #1 with dose (a/b=3)

2/2024: Salvage HDR brachytherapy #2 with dose (a/b=3)

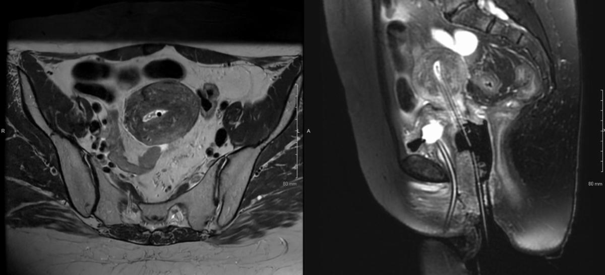
Figure 1A – pre-treatment PET/CT

Figure 1B – pre-treatment Pelvic MRI, T2 sequence

Figure 2 – mid-treatment Pelvic MRI, T2 sequence

Figure 3A: HDR-BT Fraction 1 MRI

Figure 3B-E: HDR-BT Fraction 1 MRI in MIM treatment-planning software

Figure 4A-B: Percentage difference in target coverage (A) and normal-tissue sparing (B) in fractions 2-4 relative to fraction 1

Table 1: Dosimetric data for fractions one through four

BrachyBites Podcast: Legends in Brachytherapy


Dr. Grgur Mirić joins the ABS BrachyBites Podcast to reflect on the evolution of prostate brachytherapy, the lessons of high-volume practice, and how he combined cancer care with community impact through basketball and mentorship.


Click here to tune in!



Upcoming Events

Stay tuned in 2026—ABS has several upcoming events and webinars on the horizon, offering fresh education, updates, and member engagement opportunities.


Webinar | Difficult/Challenging GU Cases

January 13th | 12:00pm Eastern


This webinar will explore complex cases in both high-dose-rate and low-dose-rate prostate brachytherapy. Attendees will review selected cases and engage with an expert panel discussing optimal patient selection, strategies for navigating challenging clinical decisions, techniques to enhance implant quality across imaging modalities, and approaches for managing treatment-related toxicities.


Faculty:

Joelle Helou, MD

London Regional Cancer Program at Western University

Amandeep Taggar, MD

Sunnybrook Health Sciences Centre

Mark Rivard, PhD

Brown University


Moderator:

Jay Shiao, MD

University of Kansas


Webinar | Research Council Improving Quality to

Advance Patient Care

January 15, 2026 at 12:00 PM ET


The Research Council has re-launched in 2024 with a vision for developing initiatives with a meaningful impact on brachytherapy patient care. Over the past year, the members have worked together to initiate projects that address deficits in our current brachytherapy practices. Centered around the hypothesis that brachytherapy quality drives patient outcomes, the group is moving forward to improve consistency in complex brachytherapy procedures and develop methods for better assessment of brachytherapy quality. This presentation will review the process of bringing


our group together, identifying areas of need, and actioning change in our professional society.


Faculty:

Michael Roumeliotis, PhD, Johns Hopkins University


Moderator:

Mahta McKee, MS, Wake Forest University


Click here to register!

Message from the Editor


Thank you for taking the time to read this edition of the Brachyblast. We look forward to continuing this mechanism of communication to highlight key things going on in the ABS including our councils and upcoming events. We will also provide an avenue for brachytherapy education including recent brachytherapy publications, podcasts, book reviews, and technical tips.


Chirag Shah, MD

Editor

ABS BrachyBlast

Thank You to Our 2025 Industry Partners

Your partnership plays a vital role in supporting the vision and mission of the American Brachytherapy Society!

Platinum Industry Partners

Gold Industry Partners

Silver Industry Partners

Bronze Industry Partners

2025 - 2026

American Brachytherapy Society Board of Directors


Executive Committee

Mitchell Kamrava, MD, President

Kristin Bradley, MD, President Elect

Christine Fisher, MD, Vice President

Andrew Farach, MD, Treasurer

Marisa Kollmeier, MD, Secretary

Mira Keyes, MD, FABS, Chairwoman of the Board

Peter Rossi, MD, FABS, Past Chairman of the Board


Directors-at-Large

Albert Chang, MD

Martin King, MD, PhD

Daniel Krauss, MD

Mahta McKee, PhD, FABS


We've Moved!

ABS has changed Management Companies as part of our ongoing efforts to strengthen operations and member support. With this transition, our official mailing address is now

584 Franklin Ave, Columbus, OH 43215. Please update your records accordingly.


Facebook  Twitter