View this eMailer as a Webpage

HaemInsights

Issue 4 | August 2025

This edition looks at a blood film from a patient with sickle cell anaemia, displaying abnormal red cells, anisocytosis and polynuclear neutrophils.

Morphology Case Study

HORIBA's HaemInsight newsletter - blood slide - sickle cell anaemia

Abnormal red cells, anisocytosis and polynuclear neutrophils can all be seen in the morphology of this sickle cell anaemia patient.

Age & EDTA Effect on Full Blood Count Samples

The accuracy of blood smear interpretation relies on sample freshness. Aged samples, particularly those stored at room temperature, often develop artefactual changes that can compromise analysis.


Read more on how this effects the morphology of a blood smear.

HORIBA's HaemInsights newsletter - blood smear

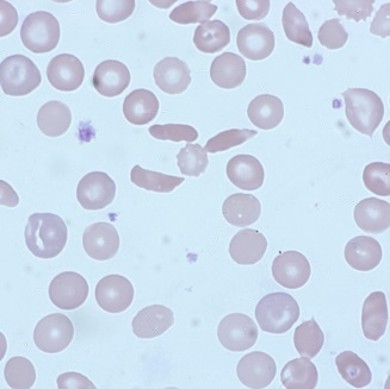
Quiz

What is the best course of action when seeing numerous

features in the tail of a smear with the following results?

HORIBA's HaemInsights newsletter - numerous features in the tail of a blood smear
  • WBC 8.60 (10^3/mm3)
  • MCH 29.6 (pg)
  • RBC 3.21 (10^6/mm3)
  • MCHC 32.6 (g/dL)
  • HGB 9.5 (g/dL)
  • PLT 222* (10^3/mm3)
  • HCT 29.1 (%)
  • RDWsd 40.3 (fL)
  • MCV 90.7 (fL)
  • RDWcv 12.3 (%)

a) Ignore the features as they are in the tail of the smear.


b) Manually check the sample for clots. Comment on the fact that the platelet count may be underestimated and request a repeat.


c) Query if Microfilaria is present.


The answer will be revealed in the next HaemInsights newsletter and on our social media channels (LinkedIn and X).

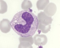
Last Issue's Quiz Answer

Name the cell and what may it indicate?

HORIBA's HaemInsights newsletter - Band Cell of Stab Cell

The Answer:


The cell shown is known as a Band cell or Stab cell; if numerous are present in the blood smear, it is an indicator of infection or inflammation. Gross red cells abnormalities with large platelets and platelet clumps in a Beta Thalassaemia patient. Platelet production and their function in haemostasis and infection.

Editorial Team:

Kelly Duffy, Andrew Fisher, HORIBA UK Limited

Back issues


Past issues of HaemInsights are available on our website.

LinkedIn  X  YouTube

HORIBA UK Limited

Kyoto Close, Moulton Park, Northampton, UK, NN3 6FL

www.horiba.com/medical

Explore the future HORIBA