New York News in Research: November  2016
Highlights Highlights
Pediatric Cancer Researcher Talks Increasing Survival Rates, Decreased Funding

AMSNY's  Under the Lens blog features New York Medical College's Dr. Mitchell Cairo on his 40-year career in cancer research.   


Researchers Across NY Work to Improve Veterans Health Care

On Veterans Day, we recognized the sacrifice that our military men and women have made, including to their health. Fortunately, biomedical researchers across New York State are doing essential work to improve the health of our veterans. This includes researchers working on PTSD at Weill Cornell Medicine, lung disease at Hofstra Northwell School of Medicine, and orthopedics at University at Buffalo Jacobs School of Medicine and Biomedical Sciences. Check out their stories at AMSNY's website.
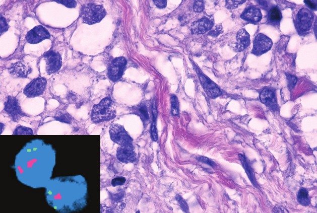
neuroCancer
Weill Cornell Medicine: Research Identifies New Target for Cancer Therapy

Weill Cornell Medicine: Chemotherapy Drives Treatment Resistance in Bladder Cancer

neuroCardiology
Columbia University Medical Center: Stents, Bypass Equally Safe & Effective For Many With Left Main Heart Disease

SUNY Downstate: New Device Jump-Starts Hearts Without Electric Shock

Take a closer look.
neuroNeurology
Columbia University Medical Center: Pregnancy Increases Stroke Risk in Young Women, But Not in Older Women

otherstudiesOther Studies
Upstate Medical University: New Research Approach Leads to New Findings in Study of Mosquito-Borne Viruses

NYU Langone Medical Center: Asthma Research Unexpectedly Yields New Treatment Approach for Inherited Enzyme Disease

Albert Einstein College of Medicine: "Junk" Science -  One Scientist's Quest To Understand Cellular Housekeeping and Its Influence on Aging and Age-Related Diseases

University at Buffalo Jacobs School of Medicine and Biomedical Sciences Study: Most Pediatric ICU Physicians Don't Use Current Guidelines to Diagnose Acute Kidney Injury

 
Columbia University Medical Center: Fatty Liver -Turning Off TAZ Reverses Disease

Take a closer look.
NYU Langone Medical Center: Making Sense of the Senses: 'Context' Matters When the Brain Interprets Sounds

Upstate Discovery Advances Understanding of How Retinal Cells Are Formed

SUNY Downstate Research Suggests that Inhibition of Liver Sphingolipid de novo Synthesis in Early Life Impairs Adherens Junctions and Promotes Tumorigenesis

Columbia University Medical Center: Equine Assisted Therapy for Veterans

 
NYU Langone Medical Center: Yearly Exposure to Chemicals Dangerous to Hormone Function Burdens Americans with Hundreds of Billions in Disease Costs

articlesGrants
CUNY School of Medicine: $4.27m Grant Boosts Expert John Martin's Spinal Cord Injury Research

Take a closer look.
Albert Einstein College of Medicine Faculty Receive NIH Career Development Awards

Weill Cornell Medicine Researcher Receives $1.5 Million NIH New Innovator Award

Albert Einstein College of Medicine: Researchers Receive $2.6 Million NIH Grant to Develop Targeted Cancer Immunotherapies

Take a closer look.
Upstate Signs Agreement with Development Stage Company to Test Treatment for Shingles

Weill Cornell Medicine: Pioneering Drug Discovery Company Bridge Medicines Launched to Advance Promising Early Technologies in Major Academic Institutions through Human Proof of Concept

Icahn School of Medicine at Mount Sinai's Arnhold Institute for Global Health Partners With DigitalGlobe to Better Map World's Most Underserved Populations

Take a closer look.
University at Buffalo Jacobs School of Medicine and Biomedical Sciences: Patient Safety Will Improve with Launch of ACA Effort Focused on Better Data Collection

Take a closer look.
Hofstra Northwell School of Medicine: From A New Nose to A New Rose - the Latest in Plastic Surgery

Take a closer look.
SUNY Downstate's Dr. LeConté Dill Receives APHA Women's Caucus Highest Scoring Abstract Award

Take a closer look.
Cleveland Clinic Announces Top 10 Medical Innovations for 2017

Take a closer look.

STAY CONNECTED: