SPRING EDITION

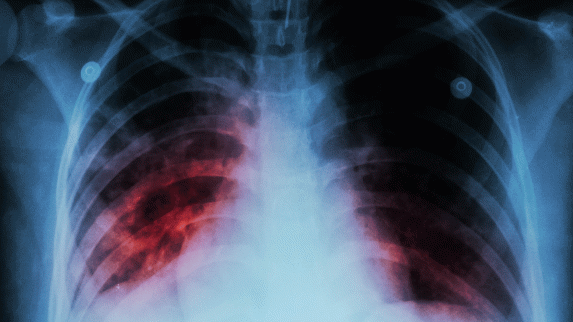
Rutgers to Lead Consortium of Seven Universities and Eight Nations to Curb Tuberculosis

Rutgers New Jersey Medical School will coordinate a worldwide effort to stop one of the deadliest infectious diseases from spreading with a $20 million grant over five years from the National Institute of Allergy and Infectious Diseases (NIAID).



Explore more

Plastic Particles Themselves, Not Just Chemical Additives, Can Alter Sex Hormones

Amid rising evidence that additives designed to improve plastics also disrupt sex hormones, a Rutgers laboratory trial shows that plastic itself can do likewise when inhaled at moderate levels.



Explore more

Rutgers-Newark Receives $4.7M Grant to Study Exercise and Alzheimer's Risk in African Americans

A five-year federal grant awarded to Rutgers University-Newark will soon begin examining whether something as simple as rigorous exercise can help stave off Alzheimer's disease in African Americans.


Explore more

NEWS

Office for Research Hosts Women on the Cutting Edge Conference

Health Scientist Explains Link Between Cognitive Decline and Ultra-Processed Foods

Businesses Can Protect Their Media Assets and Intellectual Property Through Rutgers AI Startup, Steg.AI

Rutgers Business School Won First Place in the Financial Crime Prevention Track in Combined US-UK Competition

Rutgers Launches Lyme Disease Vaccine Study

Student Travels from Jersey to Alaska to Research the Impact of Climate Change

Produced by Rutgers Office for Research
© 2021 Rutgers, The State University of New Jersey
Twitter  Linkedin  Facebook  Youtube  

View as Webpage