31 October 2022


If viewing on a mobile device, rotate to landscape mode.

2023 Scientific Sessions

Countdown to #SCMR23 Scientific Sessions!

The countdown to #SCMR23 has started—it’s only 3 months to go!


As the premier global gathering for CMR physicians, scientists, technologists, and industry, it is the best opportunity to advance your knowledge, showcase your work, and network. The 26th SCMR Scientific Sessions in San Diego California, 25–28 January 2023, will be the first in-person SCMR meeting since 2020 and is shaping up to become a truly memorable event.


We have received a record number of abstract and case submissions—clearly everyone is ready to meet face-to-face to catch up on a huge amount of science and innovation after three years of virtual meetings!


You can now register for SCMR 2023—please make sure to take advantage of the early-bird registration rates when you register before 5 December 2022.


You can also check out the just-released provisional programme. From beginner to expert, there are sessions and social events for everyone! Highlights of the programme include pre-conferences for clinicians and scientists (both introductory and expert level), 4 parallel plenary sessions in the main meeting, numerous hands-on and interactive sessions, keynote lectures delivered by the most distinguished leaders in the field, receptions, social events and plenty of time to network.


Learn more about #SCMR23 and keep up to date with any news on the upcoming conference by checking out the new conference website, Twitter, Facebook, and LinkedIn.


Sincerely,

Sven Plein, MD, PhD

SCMR President

REGISTER NOW!

Hear from SCMR's Program Chair, João Cavalcante, MD, FSCMRabout the exciting and comprehensive program planned for #SCMR2023!

SCMR Program Chair Joao Cavalcante, MD, encourages you to attend the 2023 SCMR Scientific Sessions.

2023 Keynote Presenters

Eric Topol, MD


Gary & Mary West Endowed Chair of Innovative Medicine, Scripps Research


Executive VP, Scripps Research


Professor, Molecular Medicine, Scripps Research


Director & Founder, Scripps Research Translational Institute

Robert O. Bonow, MD


Max and Lilly Goldberg Distinguished Professor of Cardiology


Professor of Medicine (Cardiology)



Call for Late Breaking Research

Call for Late-Breaking Research Sessions

SCMR is proud to announce a Late-Breaking Research Session at the SCMR 2023 Scientific Sessions comprised of 4 presentations! The submission window for this special session is only open through 15 November 2022, and involves a different submission process from the regular abstracts.

 

Only submissions related to the following topics will be considered for this session:

  • large clinical trials
  • large research studies
  • large registries.

 

Entries submitted ONLY for the Late-Breaking Research Session will not be considered for acceptance to the regular SCMR Scientific Sessions, so be sure to submit your best science for the Scientific Sessions. Be sure to submit your Late-Breaking Research abstract by the 15 November 2022 deadline for consideration!

Submit Your Late-Breaking Research

2023 Travel Grants

Exciting Opportunity for Members with Accepted Abstracts


SCMR will once again be offering a limited number of travel grants for the Annual Scientific Sessions. The purpose of the travel grant is to encourage students, trainees, and young professionals, particularly women and underrepresented minorities, to attend the Annual Scientific Sessions and become active in SCMR. They are offered to defray travel and lodging costs associated with attendance and to increase diversity at this important CMR meeting. Apply now for a 2023 SCMR travel grant!


Abstract notifications will be sent the week of 31 October 2022, and the Travel Grant application site will close on Monday, 21 November 2022, at 11:59 PM US Eastern Time. Please note the application deadline will not be extended.

Apply for a Travel Grant

2023 Seed Grants

Call for 2023 Seed Grants Applications


SCMR is pleased to announce the call for this year's Seed Grant Program. The goal of the program is to foster research that advances technical advanced and translational application of CMR. The intention is to award up to two grants with either a “basic”(technical) or “clinical” (translational) research focus. Consistent with this year’s SCMR meeting theme of “Changing Global Clinical Practice,” applicants are encouraged to clearly delineate how research proposals address key knowledge gaps and/or needs in patient-focused CMR. Examples of possible topics include (but are not limited to) proposals to develop and/or validate novel pulse sequences or demonstrate incremental diagnostic and/or prognostic utility of innovative CMR approaches as applied to population-based clinical cohorts. Seed grant proposals may be either single center or multicenter in scope.


The SCMR encourages early career investigators to identify pilot projects for which Seed Grant funding will directly foster competitive research applications to larger scale governmental (e.g., US NIH, EU, British Heart Foundation) and/or other extramural grant programs. Successful investigators will be invited to present their progress at the subsequent SCMR Annual Scientific Sessions in 2024.


The application deadline for 2023 Seed Grants is 17 November 2022. Don't delayApply now!

Submit a Seed Grant Application

Exhibit and Sponsorship Opportunities

Exhibit at the SCMR 26th Annual Scientific Sessions


Exhibiting or sponsoring at the SCMR Annual Scientific Sessions puts your organization in front of more than 1,400 CMR professionals from our international audience attending both in-person and virtually. SCMR is the leading organization of global healthcare professionals committed to furthering the development and clinical application of CMR.


Join other imaging, pharmaceutical, medical device, clinical diagnostic, software, publishing, not-for-profit, and recruiting organizations while making connections with important industry leaders to showcase your company’s products and services.


Dates: Wednesday, 25 January–Saturday, 28 January 2023

Location: Sheraton San Diego Hotel & Marina, San Diego, CA, USA


For information on exhibitor and sponsorship opportunities, view the 2023 Exhibitor Prospectus and contact Adrianne Stokes, Manager of Professional Relations, at astokes@connect2amc.com.

Upcoming SCMR Level I Course

SCMR Level I Course in Baltimore


Join us for this SCMR Level I CMR certification workshop (19-20 November 2022, Baltimore, MD), as experts guide the participants through the fundamentals of cardiovascular magnetic resonance (CMR), reflecting on the added value of using CMR in clinical practice with an emphasis on the clinical applications of CMR. Clinical cases will be used liberally throughout the course to emphasize key concepts. In addition, there will be interactive Q & A, case-based learning and networking opportunities. In addition to Level I certification, participants will be eligible to claim CME credits. This course is appropriate for radiologists, cardiologists, technicians and trainees at all levels. Course Co-Directors are Allison G. Hays, MD, FSCMR (Cardiology) and Stefan L. Zimmerman, MD (Radiology) from Johns Hopkins. Register now to learn CMR, and enjoy the Baltimore culture and restaurant scene during your visit.

Allison G. Hays, MD, FSCMR

Stefan L. Zimmerman, MD

REGISTER NOW!

Interested in sponsoring this Level I Course? Learn more about sponsorship opportunities for this workshop. 

SCMR Awards Program

SCMR Awards Program Grows to Recognize Exemplary Service to CMR

I would like to take this opportunity to provide an update about the new SCMR Awards Program we have developed over the past few months. Our Society will continue to recognize important contributions to SCMR and the field of CMR by our successfully established and well-recognized awards, such as the Fellow of SCMR, the Gold Medal, and the Master of SCMR. As in the past years, the SCMR Early Career Awards will be given out for accepted abstracts at the upcoming SCMR conference in San Diego for exemplary contributions in the three areas of clinical, translational, and basic science. 

 

This year, we have launched three new SCMR awards to broaden the recognition of efforts and service by our membership in the important areas of advocacy, education, and dedicated to MRI technologists. The SCMR Advocacy and Education awards are designed to recognize SCMR members who have made exemplary contributions to CMR and the Society in national and international advocacy or education and training, respectively. In addition, the newly introduced SCMR Technologists award will highlight the contributions of MRI technologists to the Society and our field of CMR. These three awards will for the first time be given out at the upcoming SCMR conference in San Diego. The nomination deadline for these awards is 30 November 2022. 

 

I look forward to meeting the recipients of our prestigious SCMR awards in person at the SCMR conference in San Diego in January 2023. 


Sincerely,

Michael Markl, PhD, FSCMR

SCMR Secretary-Treasurer


SCMR members can nominate suitable candidates for the following awards: Gold Medal, Education, Advocacy, and Technologist by the deadline of 30 November 2022 using the following link: 

Learn More About SCMR Awards

2023 Membership Renewal

Members, don't forget to renew here! Do you live in any of these World Bank Category countries? If so, you can save on your renewal and should renew now before the end of the year! We are excited to continue to provide you with workshops, Scientific Sessions discounts, and FSCMR recognition!


Don't forget to click on the Facebook and Twitter icons to stay updated between newsletters. Thank you all for your continued enthusiasm and advocacy for CMR!

Renew Your Membership

Refer to the infographics below to learn more about SCMR membership renewal categories. 

Current News

SCMR Podcast

We are delighted to announce the first edition of the SCMR Podcast. Edited by Hildo Lamb, MD, PhD, the SCMR podcast will be streamed several times per year and cover topics of particular interest to members of the society. It will be accessible from all your favorite platforms, for example Spotify and Anchor.


The first edition of the SCMR Podcast, available now, features the president of the society, Sven Plein, MD, PhD, and the program chair of the scientific program committee for the 2023 SCMR Scientific Sessions, João Cavalcante, MD, FSCMR. Dr. Plein will discuss the SCMR mission, the general structure of SCMR and its strategic vision. Dr. Cavalcante gives an outlook on the many exciting features of the 26th SCMR Annual Scientific Sessions: Changing Global Clinical Practice, from 25-28 January 2023, San Diego, California, USA.


Future editions will give SCMR members the opportunity to join the podcasts as guests to share their experiences with SCMR and feed back on the annual scientific sessions. Please email scmrpodcast@gmail.com if you are interested in being a podcast guest - or if you have any other comments on the podcasts. 

Listen on Spotify
Listen on Anchor.fm

Operations Update

SCMR Transitioning to a New Management Company


Over the next 2 months SCMR will transition to a new management company. We don’t anticipate that this transition will have any noticeable impact on our members but you will begin to see SCMR communications coming from our new partner, Veritas. We are grateful to all the staff at AMC for the hard work and dedication to the society over the past year and look forward to working with Veritas to grow SCMR and the field over the coming years. 

Congenital Heart Disease Corner

Vascular Rings 


In this month’s CHD Corner we highlight vascular rings and the utility of CMR in patient evaluation. Vascular rings include aortic arch abnormalities that result in encircling of the trachea and esophagus by vascular structures. They result from abnormal regression of different segments of the pharyngeal arches. The most common types of vascular rings demonstrated below are a double aortic arch (left) and a right aortic arch with an aberrant left subclavian artery and left ductus arteriosus (right). 

Figures from textbook Lai et al. Echocardiography in Pediatric and Congenital Heart Disease. West Sussex, Wiley, 2009. 

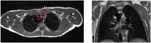
A diverticulum of Kommerell is an outpouching from the proximal descending aorta which gives rise to an aberrant subclavian artery and is also the site of ductal insertion. The diverticulum serves as a surrogate for the location of the ligamentum arteriosum (site at which the patent ductus arteriosus was present but then closed). Although the ligamentum will not fill with contrast on CMR, it forms one limb of the ring. Patients who are symptomatic due to tracheal or esophageal compression or who have a double aortic arch typically need surgical intervention. Black blood imaging can be instrumental in simultaneously visualizing the vasculature and the airway. In the figure below, the diverticulum of Kommerell is denoted with a red asterisk on axial (left) and coronal (right) images in a patient with a right aortic arch and aberrant left subclavian artery. A non-contrast MRA is also typically acquired as part of the CMR exam. When these non-contrast sequences are not diagnostic, a post-contrast MRA can provide a clear delineation of the vascular anatomy. 

SCMR Education Corner

Late Gad Imaging—Choosing the Right TI Valve


Late Gadolinium Enhancement (LGE) Imaging is an integral part of the Cardiac Imaging exam. LGE imaging helps define whether a myocardial injury is ischemic or non-ischemic. The difficult task is choosing the correct TI value. To do this, you should run a TI scout. This is acquired in a mid slice Short axis position, where the left ventricle is in a round position. The time to acquire the TI scout is 6-10 minutes after the gadolinium injection (dose of 0.1mmol/kg, or 1ml/kg bodyweight, depending on the contrast used). The correct TI is when the myocardium is as black as the lung field. The TI scout acquires an image usually every 60-80 ms to demonstrate the myocardium (Image A). Typically, the blood pool will be nulled before the healthy myocardium. Choose the value after the blood pool appears black, and when the myocardium is completely black. This allows for adequate suppression of the signal from the healthy myocardium. Damaged, or scarred, myocardium appears bright white against the healthy suppressed heart tissue (Image B). The LGE images should match the Long axis and Short axis images, to allow accurate diagnosis and evaluation.

Educational Opportunities

November

CARDIOVASCULAR MAGNETIC RESONANCE LEVEL 1

15-17 NOVEMBER 2022

London


The course covers the basic principles of CMR, its clinical indications and role in a multi-modality imaging environment. Delegates will learn in lectures and interactive sessions, at the end of the course they will have a solid understanding of when to refer a patient for Cardiovascular MRI and how to interpret CMR images and reporting. This established 3-day course has been running for 12 years at King's, with an exceptional faculty of internationally renowned experts in the field of cardiac MRI.

February

INDONESIA CMR LEVEL I COURSE

10-12 FEBRUARY 2023

Jakarta, Indonesia


A combination of lectures, hands-on sessions, live scanning is utilised to gain experience and confidence for CMR examination and its interpretation. The curriculum is in accordance with the requirements of the SCMR for level 1 certification.

February

JCA CARDIAC MRI COURSE

February 2023

Virtual/Hybrid


JCA Medical Seminars provide bi-annual SCMR endorsed Cardiac MRI Level 1 Courses (both in the UK and Virtually, for worldwide access). Led by Dr Vass Vassiliou, Clinical Professor in Cardiac Medicine at the University of East Anglia and an honorary consultant cardiologist at the Norfolk and Norwich University Hospital, and Consultants from the specialist Papworth Hospital and University of Cambridge.


Journal Clubs

Join Live at cmrjournalclub.com
Register for the JCMR Journal Club

Cases of SCMR

NUMBER 22-10: RAPID RECURRENCE OF A PRIMARY CARDIAC SARCOMA ASSESSED BY CMR

A 24-year-old male with a history of cardiac tumor status post resection presented to the emergency department with several days of cough productive of bright red blood. He reported that the cough was constant and not associated with chest pain or palpitations. On review of systems, he only endorsed shortness of breath but otherwise denied additional constitutional, cardiovascular, or infectious complaints.

sarcoma_video_1_compressed image

Video 1: Transthoracic echocardiogram revealing a large mass in left atrium protruding through the mitral valve. A small hypoechoic area of necrosis is seen within the mass.

Read the Full Case
View All Cases of CMR
Sylvia Chen, MBBS
Editor
Cases of SCMR
Jason N. Johnson, MD, MHS
Deputy Editor
Cases of SCMR
Cases of SCMR

SCMR is looking for interesting CMR cases for publication on Cases of SCMR. We are particularly interested in cases where CMR was essential in diagnosis and management. Submission of multi-imaging modality cases are encouraged.


Submitted cases will be peer-reviewed by the web committee before acceptance and can be listed as a peer reviewed web publication on CVs. Cases published or under consideration for publication elsewhere or that have been previously presented at SCMR Scientific Sessions will not be accepted.

Submit a Case of the Week
Cardiac MR Eyes (👀)

What Caught Our Cardiac MR Eyes This Month?

by Manish Motwani, Newsletter Editor

Twitter-based #WhyCMR journal watch 📚⌚join the online discussion!

  1. Review: Restrictive cardiomyopathy - definition & diagnosis 💚💙🧲
  2. Are we going MAD? – the real disjunction story from UK Biobank  😡🤷‍♀️
  3. RV involvement by CMR = incremental predictor in myocarditis 📈🥐
  4. The truth can disappear! Earlier CMR better in MINOCA ⏲💫🔮
  5. Multi-modality imaging in cardio-oncology ♋🧲
  6. Stress CMR in CIED patients – safe, feasible & additive!  📎🧲💦🆗✅
  7. Severe AR cut-offs by CMR? ☮✂📴

#WhyCMR | Social Media

1 October to

29 October 2022

#WhyCMR Activity


Each month our social media committee correspondents update us on the latest #WhyCMR activity stats and most popular tweets or threads. Join the conversation and use the #WhyCMR in your social media posts and follow @SCMRorg!

Tweet of the Month

See all #WhyCMR Tweets

Just for Fun

Solve

JCMR Articles

Research

Native T1 mapping detects both acute clinical rejection and graft dysfunction in pediatric heart transplant patients

Richmann, et al.

Published: 03 October 2022

Research

Cardiovascular magnetic resonance imaging and spectroscopy in clinical long-COVID-19 syndrome: a prospective case–control study

Gorecka, et al.

Published on: 12 September 2022

Review

Rationale and clinical applications of 4D flow cardiovascular magnetic resonance in assessment of valvular heart disease: a comprehensive review

Gorecka, et al.

Published on: 22 August 2022


Review

Quantitative susceptibility mapping (QSM) of the cardiovascular system: challenges and perspectives

Aimo, et al.

Published on: 18 August 2022

Technical notes

An inline deep learning based free-breathing ECG-free cine for exercise cardiovascular magnetic resonance

Morales, et al.

Published on: 11 August 2022

Research

Le Cœur en Sabot: shape associations with adverse events in repaired tetralogy of Fallot

Mîra, et al.

Published on: 4 August 2022

CMR Literature Search


Please use this link for a filtered PubMed list of all CMR-related manuscripts for October 2022—more than 400 in total!

SCMR Career Center

Visit the SCMR Career Center Today!


Looking for an all-in-one resource to advance your career in CMR? SCMR’s Career Center offers great resources for resume review, workplace wellness, career growth, virtual networking, and more. Visit the Career Center to stay on top of job openings in the CMR field. Browse for new opportunities by job function or location.


Employers can search for resumes in our Resume Bank and view complete resumes for free. Job seekers can check out the Featured Career Advice section for essential tips on interviewing, networking, personal branding, and more. Give your career a boost today and discover all the opportunities at the Career Center.

SOCIETY FOR CARDIOVASCULAR MAGNETIC RESONANCE
8735 W. Higgins Rd., Ste. 300
Chicago, IL 60631, USA
+1 847.375.4747
Facebook  Twitter  Linkedin  Youtube  
Manish Motwani
Newsletter Editor