If viewing on a mobile device, rotate to landscape mode.
|
|
An Invitation from the Journal of Cardiovascular Magnetic Resonance
|
|
The Journal of Cardiovascular Magnetic Resonance (JCMR) is the official publication of the Society for Cardiovascular Magnetic Resonance (SCMR). Working with our new managing editor, Jennifer Rodriguez, this year we have focused on reducing the time from manuscript submission to first decision. For the last 6 months, we have seen a 50% improvement to a mean of 34 days. We hope to get this under 30 days for the last quarter of the year. Many thanks to our associate editors, reviewers, authors, and readers for making the JCMR the premier CMR publication journal, with a 2020 impact factor of 5.4!
Please join us for our popular monthly JCMR Journal Club—now in its second season—held on the second Wednesday of the month at 11 am ET. At our upcoming 13 October 2021 journal club, JCMR Journal Club Editor Dr. Raymond Kwong will be joined by Dr. Håkan Arheden to discuss their article, “Pulmonary blood volume measured by cardiovascular magnetic resonance—influence of pulmonary transit time methods and left atrial volume.” Please join us!
|
|
Warren J. Manning, JCMR Editor-in-Chief
Beth Israel Deaconess Medical Center, Boston, MA, USA
|
|
Save the Date—Registration for the 25th Annual Scientific Sessions Opens Mid-November
|
|
Do you love SCMR? Of course you do! With the end of the year approaching, now’s the time to renew! We have launched our new membership fees based on GDP, so no matter your location, it's a great time to take advantage of all that SCMR has to offer. Try re-engaging with our website, and enjoy discounts for Scientific Sessions, article submissions, and SCMR Workshops. Apply for your SCMR Letters of Verification or FSCMR for recognition of your dedication to the field! Don't forget to click on the Facebook and Twitter icons to stay updated between newsletters. Click here to renew—and above all, thank you all for your continued enthusiasm and advocacy for CMR!
|
|
CMR Highlights from European Society of Cardiology Congress 2021
|
|
This month brought another incredibly exciting virtual #ESCcongress. Once again, multiple studies and guidelines confirmed the instrumental value of #whyCMR. We present a focused selection of CMR highlights here:
-
Imaging Atrial Fibrosis Before Ablation for AF. The DECAAF II study investigated image-guided fibrosis ablation added to conventional pulmonary vein isolation in persistent AF. Left atrial fibrosis was quantified by LGE CMR in patients undergoing a first-time ablation procedure. They were randomized 1:1 to receive either conventional PVI ablation or PVI with additional fibrosis-guided ablation. Whilst the intention to treat analysis showed no differences between strategies, the as-treated analysis did show benefit in targeting atrial tissue fibrosis in patients with low-fibrotic burden <20%.
-
Safety of Regadenoson. A study reviewed the use of regadenoson in 603 patients and confirmed its safety in clinical practice. Only two patients (0.3%) did not complete the test due to adverse events or symptoms related to regadenoson administration (one case presented severe hypotension; the other presented unbearable chest pain). The authors also routinely administered 200 mg of theophylline between stress and rest acquisitions to reverse the vasodilator effect of regadenoson.
-
Energetics of HFpEF. A spectroscopy-based study in HFpEF identified a mechanistic role. A gradient of myocardial energetic deficit was seen across the spectrum of HFpEF. This energetic deficit was related to markedly abnormal cardiac exercise responses, which led to transient pulmonary congestion. This study supported an energetic basis for impaired cardiac reserve and exercise-induced pulmonary congestion in HFpEF. This also supports the need to diagnose HFpEF during exercise, not rest.
-
Energetics in SGLT2 inhibitors. For the first time, it was demonstrated that the use of SGLT2 inhibitors in people with diabetes improved myocardial energetics and function, reduced myocardial cellular volume, and reduced NT-proBNP levels in patients with T2D, highlighting the mechanistic role of CMR.
|
|
by Dr. Vass Vassiliou, Professor of Cardiac Medicine
University of East Anglia, UK
|
|
Expanding Safety Data for MRI in Patients with Implantable Devices, but a Gap in Provision Remains
|
|
The value of MRI (including CMR) for clinical decision making in patients with cardiac implantable electronic devices (pacemakers and defibrillators) is undisputed, and MR-Conditional systems have reduced risk and made workflows easier. Older "non-MR conditional" or MR-unlabeled systems can generally also be scanned provided strict protocols are followed, but few sites provide such services despite CMS coverage. Most patients with older devices will undergo generator change over coming years due to battery depletion, with exchange for an MR-Conditional generator. Unfortunately, the continued presence of old leads means that these "mismatched" systems (MR-Conditional generator attached to non-MR conditional leads) will remain categorised as non-MR conditional, and patients will continue to struggle to access MR imaging.
Bhuva et al. recently published data in European Heart Journal comparing the safety of MRI between patients with non-MR Conditional and MR-Conditional pacing leads across three sites in the UK and the US, including data from over 1,100 scans. The study showed no increased risk in patients with non-MR conditional leads, either in terms of safety events or changes to lead parameters after MRI. The authors highlight that device MR Conditionality should therefore depend on the labelling of the generator, irrespective of the leads connected. This would significantly simplify workflows and expand the number of cardiac patients with pacemakers and defibrillators able to access MRI.
There is still work to do with increasing MRI provision even for patients with MR Conditional devices. The same group from Barts and University College London led by Dr. Charlotte Manisty have also surveyed all hospitals in England, with responses from 95% of sites. The data published in Open Heart shows that despite a four-fold increase in scan provision between 2014 and 2019, only 53% of sites will scan MR-Conditional devices (10% also scan non-MR conditional). This means that patients across large geographical regions in England have no access to hospitals that will offer MRI, and there is no relationship between supply and demand for scans.
Via SCMR we would advocate that all CMR units should provide scans at a minimum for patients with MR-Conditional devices, and given the expanding supportive data, consider scanning non-MR conditional devices. Members should also be prepared to provide mentorship and support for general MRI units who may have less experience with cardiac patients to encourage them to develop services providing non-cardiac scans for patients with pacemakers and defibrillators who should have equity of access to diagnostic imaging.
|
|
by Dr. Charlotte Manisty
Senior Lecturer, University College London
Consultant Cardiologist, Barts Heart Centre and University College Hospitals
|
|
FSCMR Enrollment Deadline 1 November 2021
|
|
The Fellow of the Society for Cardiovascular Magnetic Resonance (FSCMR) designation provides a way for physicians, scientists, and technologists to be recognized for their dedication to SCMR and the field of CMR. The FSCMR designation distinguishes those with a significant level of involvement, dedication, and accomplishments consistent with the overall mission of the Society.
All applicants must be Regular or Technologist members of SCMR in good standing for the past 3 consecutive years with a distinguished record of CMR science, education, or clinical practice. Applications are reviewed twice per year—the next and final deadline in 2021 will be 1 November.
Click here for details on FSCMR benefits and the application process.
|
|
Advisement to SCMR Members Regarding CMR in Myocarditis
|
|
Rare cases of myocarditis and pericarditis potentially related to certain COVID vaccines have recently been reported. The Vaccine Safety Technical (VaST) Work Group of the U.S. Centers for Disease Control and Prevention (CDC) Advisory Committee on Immunization Practices (ACIP), the Pharmacovigilance Risk Assessment Committee (PRAC) of the European Medicines Agency (EMA), and other agencies around the world are investigating these reports.
Importantly, CDC and other international agencies endorse the importance and safety of COVID-19 vaccination for global emergence from the pandemic.
CMR plays a central role in the diagnosis of myocarditis, including in the context of COVID-19 infection, and may aid in diagnosing suspected cases of myocarditis related to COVID vaccination.
In support of these agencies’ efforts, SCMR encourages CMR practitioners to use their relevant regional mechanisms for vaccine adverse event reporting (such as VAERS in the U.S.) to report any suspected cases with CMR findings if obtained. Also, the SCMR registry affords a platform for participating members to share images and clinical data with a global community.
We encourage our members around the world to ensure access to CMR for patients with suspected myocarditis, and education of clinical colleagues on accurate evaluation and management of myocarditis with CMR.
|
|
What caught our cardiac MR eyes this month?
by Manish Motwani, Newsletter Editor
Twitter-based #WhyCMR journal watch 📚⌚—join the online discussion!
1. Rapid CMR in <15 mins? Anatomy, cine, & LGE in 2 breath-holds 🏃♀️⏳⏩💨
4. Early CMR assessment for MINOCA is high-yield 🐙💚💙❤
7. Are you MAD or pseudo-MAD—what is really disjunction? 😡😠
8. Ischemia is strong predictor of MACE in HFpEF 💔 📈
|
|
On 21 July 2021, experts Chiara Bucciarelli-Ducci, MD, and Colin Berry, MD, presented the Siemens Healthineers webinar Novel Insights into MINOCA and INOCA: Resolving Diagnostic Dilemmas and discussed the potential of diagnostic imaging for risk assessment and prognosis in MINOCA and INOCA patients. This webinar highlighted the added value of CMR, CT, and Angio imaging in both acute and chronic ischemia without obstructive coronary arteries. The recording of this innovative session is now available on the SCMR Online Learning Portal.
|
|
International: Updates from National Societies
|
|
British Society of Cardiovascular Magnetic Resonance
|
|
The British Society of Cardiovascular Magnetic Resonance (BSCMR) is the UK’s national representative body for CMR. Formed in 2006 by a group of national leaders and enthusiasts in CMR, BSCMR aims to promote the clinical use and practice of high-quality, cutting-edge CMR and to strive for high-quality diagnostic CMR services across the UK.
Virtually unique as one of only a handful of national bodies worldwide dedicated solely to CMR, BSCMR benefits from the substantial CMR research undertaken in the UK, through which it aims to support and guide through its dedicated research committee.
BSCMR is firmly committed to training and education both as a core component of cardiology and radiology and at a more advanced specialist level. BSCMR has been involved in several initiatives both nationally and internationally to deliver high-quality training and education, to ensure that all can learn of the value and importance of the novel diagnostic modality. More recently, BSCMR has expanded its role in training and education with highly successful online radiographer webinars, with over 150 attendees from the UK and beyond.
Being fortunate in the UK to have some of the world’s largest and most prestigious CMR departments, BSCMR benefits from a rich and diverse board, representing a wider community of over 300 members. Its Annual Congress has traditionally been well attended, regularly attracting nearly 200 attendees. Behind the international (SCMR) and European (EuroCMR) representative bodies for CMR, it is one of the largest groups of CMR specialists internationally. Despite this, given its relatively small size, it maintains a friendly and collegiate atmosphere amongst its members.
As with all major medical societies, BSCMR is looking at how to evolve and adapt to the new world after the pandemic. Along with the online webinars, its annual meeting will be held on 12 October 2021 as a full hybrid offering, both online and in person, at the Royal College of Physicians, London (Register here). After the last 18 months, we look forward to taking part in rebuilding the global CMR community to which many of our members proudly belong.
|
|
|
|
by Dr. Mark Westwood, BSCMR President
|
|
Dark-Blood LGE CMR for Improved Detection of Subendocardial Scar: A Review of Current Techniques
|
|
The standard inversion-recovery (IR) sequence with the inversion time (TI) set for myocardium nulling used for LGE imaging has its limitations. Due to the often bright signal of the blood pool, blood may appear equally enhanced as adjacent subendocardial scar regions. During the last 15 years, various novel dark-blood LGE approaches have been proposed to increase scar-to-blood contrast and improve subendocardial scar conspicuity. Most of these methods use additional magnetization preparation mechanisms to either suppress the blood pool signal partly (gray-blood techniques) or null the signal completely (black-blood techniques). These mechanisms include T2 preparation, magnetization transfer, and spin-locking in concert with the standard inversion pulse, and utilization of multiple inversion pulses. Similar effects, however, have also been achieved without using any additional magnetization preparation. As each approach utilizes a different contrast mechanism, a great variety in contrast between the normal myocardium, blood pool, and areas of enhancement can be achieved nowadays. For a mainstream adoption of dark-blood LGE methods, however, clinical availability and ease of use are crucial.
Our latest review article aims to provide a comprehensive overview of the various dark-blood LGE methods. For each method, the employed contrast mechanism and corresponding magnetization preparation scheme are illustrated, followed by a discussion on the findings in phantom, preclinical, and clinical studies. Finally, various aspects relevant for LGE imaging are discussed, conclusions on the current evidence and limitations are drawn, and new avenues for future research are mentioned.
|
|
From Holtackers, R.J., et al. (2021). Dark-blood late gadolinium enhancement cardiovascular magnetic resonance for improved detection of subendocardial scar: a review of current techniques. J Cardiovasc Magn Reson, 23(96). https://doi.org/10.1186/s12968-021-00777-6
|
|
by Robert J. Holtackers, MR Physicist,
Cardiovascular Research Institute Maastricht (CARIM)
|
|
Imaging Patients with Cardiac Implanted Electronic Devices (CIED)
Cardiovascular societies from around the world are now encouraging MR imaging centres to rethink their management of patients with all types of cardiac implanted electronic devices (CIEDs). Many large centre MR studies on patients with CEIDs undergoing MRI have shown patient safety can be successfully maintained. What does this mean for the CMR technologist, however? Well, quite simply we will encounter more patients with CIEDs, and we therefore need to understand how we can manage our artefacts from the CIEDs when they arise. Here is a brief list of top tips to consider when imaging patient with CEIDs:
- Institution guidelines and protocols should be instigated and followed.
- A multi disciplinary approach to imaging patients with CIEDs is paramount.
- Knowledge of manufacturers guidelines for individual devices is essential to maintain patient safety.
- To move a pacemaker/ICD generator away from the heart to minimize artefact, place the patients left arm above the head if feasible and safe to do so.
- Image on inspiration to increase the distance of the generator from the heart.
- Do not image at first level to avoid breaching SARS limits set out by the CIED manufacturer recommendations.
- Adjust scanning parameters to reduce artefact and maintain first level imaging; reduce TE, increase bandwidth, reduce slice thickness—reduce voxel size.
- Change phase encoding direction to move artefact away from areas of clinical interest.
- Where possible use Wideband sequences (WIPs), an important development when imaging patient with CIEDs.
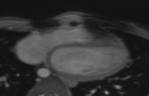
- Switch from bSSFP cines to gradient echo cines to reduce artefact impact (see images below).
|
|
Figure 1
bSSFP showing image distortion artefact.
|
|
Figure 2
Using a gradient echo sequence will reduce the artefact, but also image contrast.
|
|
Online Educational Opportunities
|
|
Register for the webinar here.
|
|
|
|
The SCMR web site hosts “Case of the Week” - a case series designed to present case reports demonstrating the unique attributes of CMR in the diagnosis or management of cardiovascular disease. Each clinical presentation is followed by a brief discussion of the disease and unique role of CMR in disease diagnosis or management guidance. By nature, some of these are somewhat esoteric, but all are instructive. Recently we have published the case archive from 2019 in JCMR as a means of further enhancing the education of those interested in CMR and as a means of archiving this incredible resource from our members on PubMed.
|
|
 |
September 1 to
September 29, 2021
#WhyCMR Activity
Each month our social media committee correspondents update us on the latest #WhyCMR activity stats and most popular tweets or threads. Join the conversation and use the #WhyCMR in your social media posts and follow @SCMRorg!
|
|
 |
 |
|
 |
|
Last month's CMR Picture Puzzle answer:
|
|
|
Research
Stoeck et al.
Published on 20th of September 2021
|
|
Research
Patel et al.
Published on 9th of September
|
|
Research
Mandell et al.
Published on 6th of September 2021
|
|
Research
Suh et al.
Published on 3rd of September 2021
|
|
Research
Loke et al.
Published on 19th of August 2021
|
|
Research
Kato et al.
Published on 19th of August 2021
|
|
Please use this link for a filtered PubMed list of all CMR-related manuscripts for September 2021—more than 400 in total!
|
|
Manish Motwani
Newsletter Editor
|
|
|
|
Beginning July 1, you can reach SCMR Headquarters at +1 847.375.4747 or at the mailing address below. We will continue to receive your emails at HQ@scmr.org
8735 W. Higgins Rd., Ste. 300
Chicago, IL 60631
USA
|
|
|
|
|
|
|