Hello Kari,


As Halloween approaches, we’ve got some exciting updates to share! This month, we’re celebrating Shelley, our October Wonder Woman. Plus, you’ll hear about Mary Kay’s transformation story, and we’ve got some spooky surprises on the blog—including vampire fangs!


With fall in full swing, now’s the perfect time to schedule your next checkup.

Call us at the number below or follow this link to schedule your next recare appointment online. We hope to see you soon!


Warmest Regards,

Dr. Jeff Eggert, Dr. Elizabeth Eggert, and the Eggert Family Dentistry Team

651-482-8412

CONTACT US

Avoiding “Spooky” Front Teeth- Mary Kay’s Story

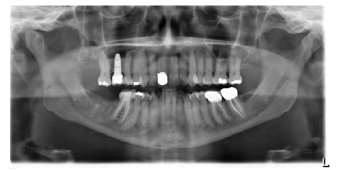
Mary Kay's Panoramic Image 2021, note the implant and some missing teeth.


Discover how Mary Kay overcame her TMJ pain and transformed her smile with the help of orthodontics and dental crowns. Follow her journey from jaw discomfort and cracked teeth to a beautiful, symmetrical smile after working with Dr. Elizabeth and Dr. DeVoe. Learn how her TMD symptoms improved, and see the stunning before-and-after results of her treatment.


 “All of the steps from braces to replacing the front teeth went very smoothly.  I am very happy with the outcome.  My teeth look much better.” - Mary Kay


Read Mary Kay's Full Story >

On the Blog

Frighteningly Good Dental Hygiene: How to Keep Your Smile Scarily Clean

This Halloween, combat sugar by employing frighteningly good dental hygiene for a healthy mouth and beautiful smile that will last a lifetime. 


Read More

Celebrate National Dental Hygiene Month this October 

Learn about the crucial role dental hygienists play in maintaining your oral health through cleanings, disease screenings, and personalized care and meet our skilled hygienists—Lea, Cassie, Emily, and Shelley!


Tell Me More

Is There Really a Trend of People Trying to Make Their Teeth Look Like Vampire Teeth?

Yes, believe it or not. Whether it’s a fascination with fantasy, a love of Halloween, or a desire to stand out, some people are embracing the otherworldly look by having their canine teeth sharpened or extended to resemble vampire fangs.


Learn More

Find more resources on our blog! ⬇️

Find More Resources

October Wonder Woman 💪

Shelley was recognized as this month's Wonder Woman by her co-workers. Shelley always has a big smile and a very positive attitude. She is willing to help out in all areas of the practice, even tackling the "scan-pile" as needed. She is super helpful in the sterilization area and also helps everyone else clean their rooms. She is so kind to her patients and her co-workers and is willing to check in with everyone, making sure they are ok - she definitely goes the extra mile! 


Congratulations on your recognition, Shelley!

Meet the Rest of the Team

Have a safe and happy Halloween! 👻