October 2025

Featured Publication

Samarth Hegde, PhD; Bruno Giotti, PhD; Brian Soong (MD/PhD student); Miriam Merad, MD, PhD, and colleagues


Myeloid progenitor dysregulation fuels immunosuppressive macrophages in tumours

Nature. 2025 Sep 10. PMID: 40931076

 

Cancer inflammation induces myeloid cell expansion in the periphery that fuels influx of pro-tumorigenic monocyte-derived macrophages (mo-macs)—associated with poorer outcomes and treatment resistance. This study aimed to understand if and how tumor cues impact the chromatin state and gene programs in bone marrow myeloid progenitors that give rise to mo-macs in the tumor. Using paired analysis of transcriptome and chromatin accessibility across patients with lung cancer and mouse models, the authors found that lung tumors prime accessibility for the transcription factor NRF2 in myeloid progenitors as a cytoprotective response to oxidative stress, enhancing myelopoiesis and promoting immunosuppression. The findings imply that cancer educates immune cells in the bone marrow much earlier than previously appreciated and highlight the potential of early upstream interventions (before myeloid cells enter the tumor) for rewiring mo-mac fate and improving immunotherapy outcomes.

 

Press Release

Grant Awards

David Dominguez-Sola, MD, PhD, received a Bridge Award from the American Society of Hematology (ASH) for his research project “Discovery of a Metabolic Escape Program Advancing Targeted Therapeutics in Burkitt Lymphoma.” This project revisits the pathogenic role of MYC coding mutations in Burkitt and other aggressive B-cell lymphomas, revealing overlooked metabolic programs that tumor cells exploit. The goal is to translate these insights into improved patient stratification, prognosis, and personalized therapies.

 

This year ASH awarded 25 Bridge Grants, a $3.75 million investment in groundbreaking hematology research, and continues to champion increased National Institutes of Health funding through its #Fight4Hematology campaign. 

Joshua Leinwand, MD, with the Division of Surgical Oncology, will be part of the next KL2 cohort through the KL2 Career Development Program, which is supported by the National Institutes of Health-funded Mount Sinai Clinical Translational Science Award (CTSA) and ConduITS, the Institute for Translational Sciences. Dr. Leinwand is investigating locoregional approaches in ovarian cancer peritoneal carcinomatosis. The goal is to determine whether intraperitoneal administration of chemotherapy and/or immunotherapy improves efficacy, in order to translate an optimized combination chemo-immunotherapy regimen into clinical trials. 

Emily Bernstein, PhD, received an Established Investigator Award from the Melanoma Research Foundation for “Investigating the Role of Cancer-Associated Fibroblasts in Remodeling the Melanoma Tumor Microenvironment.” Using mouse models of melanoma that mimic the complexity of the tumor microenvironment, Dr. Bernstein will use cutting -edge high-resolution approaches to study the cellular interactions and behaviors within the tumor as the melanoma develops. Findings could reveal the presence of cancer-associated fibroblasts that inhibit immune function and inform approaches to inhibit their pro-tumor features, leading to novel therapeutic approaches for melanoma patients.

NNMerger of Cancer Research Foundations

The Samuel Waxman Cancer Research Foundation has merged with The Mark Foundation for Cancer Research to create a new initiative—the Samuel Waxman Institute for Aging & Cancer—to accelerate research on how aging affects cancer risk. Building on a multi-year collaboration to further a shared mission of pursuing scientific discoveries at the intersection of aging and cancer, the new institute aims to distribute $15 million in grant funding over the next three years.


Samuel Waxman, MD, is Professor Emeritus of Medicine (Hematology and Medical Oncology) and Oncological Sciences at the Icahn School of Medicine at Mount Sinai.

 

Read More

NNNew Support for Gynecologic Cancer ResearchwewN

The Carmel J. Cohen MD Endowed Research Fellowship was recently established to honor in perpetuity the legacy of Carmel J. Cohen, MD, and advance research in gynecologic oncology. Specifically, it will support ovarian cancer research conducted by gynecologic oncology fellows at the Icahn School of Medicine at Mount Sinai.

 

At Mount Sinai during most of his 60-year career, Dr. Cohen served as Professor of Obstetrics and Gynecology and Vice Chair of the Department of Obstetrics, Gynecology and Reproductive Science. He founded the Division of Gynecologic Oncology, which he chaired for over 25 years. Dr. Cohen was Chair of the Gynecologic Cancer Advisory Group for the American Cancer Society and Co-Chairman of the Board of Directors and Scientific Director of the Ovarian Cancer Research Fund. Dr. Cohen also worked with global cancer societies to improve women’s health worldwide.


Dr. Cohen published extensively and trained more than 40 fellows, many of whom have become leaders in the field. He passed away in August.


Stephanie Blank, MD, Co-Director of the Center of Excellence for Gynecologic Cancer, speaking at the the fellowship celebration, is pictured.

NNShared ResourceswewN

The Biostatistics Shared Resource Facility (BSRF) has transitioned its service request process to a new REDCap-based form to streamline access and improve usability, including availability outside the Sinai intranet. 


Questions can be directed to Erin Moshier, MSc, Managing Director.

NNClinical TrialswewN

The STELLAR-311 study—Zanzalintinib Versus Everolimus in Participants With Locally Advanced or Metastatic Neuroendocrine Tumors (NCT06943755)—is open for patient enrollment at The Mount Sinai Hospital. Sponsored by Exelixis, Inc., the Phase 2/3 multicenter, randomized, open-label study is designed to evaluate the effectiveness of zanzalintinib, an investigational next-generation tyrosine kinase inhibitor, in patients with previously treated, unresectable, locally advanced or metastatic neuroendocrine tumors. Edward Wolin, MD, is the Mount Sinai Site Principal Investigator.

News for Media Coverage

Do you have breaking news/high impact news that might be appropriate for media coverage? Contact Diego Ortiz Quintero in the Press Office. The more lead time, the better.

 

See recent press releases at https://icahn.mssm.edu/research/tisch under Discover the Latest.

Publications

Alexander Karol, MD (first-year Hem/Onc fellow); Rodrigo Paredes, MD (IM resident); Deborah Doroshow, MD, PhD; Matthew Galsky, MD, and colleagues

 

Documentation of Patient Withdrawals, Retention Strategies, and Postwithdrawal Data Practices in Cancer Clinical Trials

Cancer. 2025 Oct 1. PMID: 41004397

 

This study examined the prevalence of withdrawal with unspecified rationale from cancer clinical trials. It included 300 completed phase 3 clinical trials, most of which were industry-sponsored studies. Of 165,674 enrolled patients, 106,915 discontinued trial participation; of those, 15.8 percent withdrew without a specified rationale. The study identifies significant gaps in documenting the reasons for withdrawal, retaining patient data after withdrawal, and using retention strategies, highlighting the need for standardized approaches to ensure reliable and generalizable trial outcomes.

Josep Llovet, MD, PhD, and colleagues

 

E7386 Enhances Lenvatinib's Antitumor Activity in Preclinical Models andHhuman Hepatocellular Carcinoma

Clinical Cancer Research. 2025 Sep 23. PMID: 40986544

 

This study reveals a novel mechanisms of action for E7386, a protein-protein interaction inhibitor reported to impair the CREB-binding protein (CBP)/β-catenin interaction, a pathway disrupted in approximately 30 percent of hepatocellular carcinoma (HCC) cases that drives tumorigenesis and is associated with immune evasion. Findings show that E7386 enhances the antitumor activity of lenvatinib in preclinical models of HCC regardless of activation status of WNT/β-catenin-related pathways. These findings extend the use of E7386 beyond patients with active WNT/β-catenin signaling and highlight the potential of combining E7386 and lenvatinib to expand the therapeutic arsenal in HCC, offering a complementary mechanism of action for improved clinical outcomes.

Lauren Jacobs, MD (RadOnc resident); Karyn Goodman, MD, MS, and colleagues



Understanding Patient Priorities for Religious and Spiritual Needs During Radiation Therapy for Gynecological Malignancies

Practical Radiation Oncology. 2025 Sep-Oct. PMID: 40887150

 

This study used the FICA Spiritual History Tool to evaluate the importance of religion and spirituality (R/S) for patients with gynecologic cancer who had undergone external beam radiation therapy or brachytherapy. Patients identified being asked how R/S helps them cope with stress as the most meaningful question to facilitate conversation. The findings suggest that engaging patients on how R/S beliefs influence their care can better equip physicians to support patients throughout treatment and follow-up.

 

Press Release

Doris Germain, PhD; Jian Jin, PhD, and colleagues

 

Targeting the Mitochondrial Protease ClpP for Anticancer Therapy

Journal of Medicinal Chemistry. 2025 Oct 1. PMID: 41032690

 

In this study, Drs. Germain and Jin and colleagues developed a new generation mitochondrial matrix protease caseinolytic protease P (ClpP), which exhibits enhanced ClpP binding, potent disruption of mitochondrial electron transport chain function and lethality in breast cancer models. It also induced cell death in cancer cells resistant to the imipridone ONC212, thereby adding to the arsenal of imipridones for targeting ClpP in cancer.

 

A patent is associated with this study.

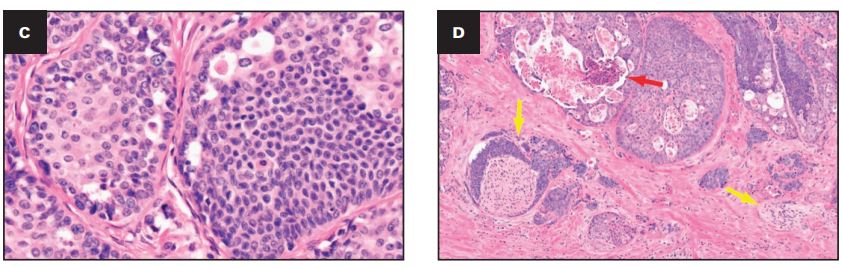
Aryeh Stock, MD; Chao Fan, MD (Pathology resident); Sara Lewis, MD; Myron Schwartz, MD; Swan Thung, MD

 

The First Report of Biliary NUT Carcinoma With a Fatal Outcome

American Journal of Clinical Pathology. 2025 Sep 25. PMID: 40994311

 

NUT carcinoma (NC) is a rare, aggressive epithelial malignancy caused by a rearrangement of the nuclear protein in testis gene (NUTM1), with fewer than 200 cases reported worldwide to date. It typically occurs in children and young adults, most commonly in the thoracic and head and neck regions. This case marks the first documented occurrence of NC in the hepatobiliary system. It highlights the importance of recognizing NC in atypical locations and emphasizes the need for a thorough investigation in young patients with malignancies that display squamous differentiation. 

Education

Darren Ng, a junior at Hunter College High School, recently joined the Chipuk Laboratory as an intern after participating in the Summer Program Advancing Research Knowledge, Education and Development (SPARKED), a collaboration between The Tisch Cancer Institute and the Institute for Regenerative Medicine. Under the mentorship of Jerry Edward Chipuk, PhD, Darren is studying the contributions of the mitochondrial unfolded protein response in cell biology and melanoma. He will continue throughout the 2025-2026 school year, coming to the lab two to four times a week, and possibly during his senior year as well.

TCI Sminar Series

Tuesdays at noon, Davis Auditorium


October 14

Pedro Lowenstein, MD, PhD, University of Michigan

"Liquid Crystals: A New View of Brain Tumors"

Hosted by Roland Friedel, PhD


October 21

Igor Stagljar, PhD, University of Toronto

“From Algorithms to Prototype Drugs: How AI and Live Cell-Based Assays Help Drug the Undruggable”

Hosted by Mihaela Skobe, PhD, and Poulikos Poulikakos, PhD

Presentations and Events

Deborah Doroshow, MD, PhD, presented a poster at the American Association for Cancer Research Conference on the Science of Cancer Health Disparities on September 19: “Feasibility and Preliminary Efficacy of a Pilot Community Navigator-led Intervention for Minoritized Individuals Considering Early Phase Clinical Trial Participation.” Co-authors, all based at Mount Sinai, included TCI Community Scientist Karen Peterson.


Jerry Edward Chipuk, PhD, is presenting “The A TF5-Dependent Mitochondrial Unfolded Protein Response Coordinates Oncogenic Fate” at the Cancer Metabolism Congress in La Grande Motte, France, on October 8.


Amir Horowitz, PhD, and Saad Atiq, MD, are presenting at the International Bladder Cancer Network Conference, October 9-11, in Munich.

  • Dr. Horowitz: “Geographies of Resistance: How Tumor Niches Silence Immunity and Fuel Growth”
  • Dr. Atiq: “Genomic Landscape of Bladder Pure Squamous Cell Carcinoma Versus Urothelial Carcinoma of the Bladder”

Amir Horowitz, PhD

Saad Atiq, MD

48th International Conference on Screening for Lung Cancer 

October 9-11

Goldwurm Auditorium

Faculty from Mount Sinai: Claudia Henschke, PhD, MD; David Yankelevitz, MD; and Rowena Yip, PhD, MPH

Eirini Papapetrou, MD, PhD, is presenting at the European School of Hematology’s 7th International Conference: Acute Myeloid Leukemia “Molecular and Translational”: Advances in Biology and Treatment, October 16-18, in Portugal.

 

Dr. Papapetrou is also presenting “Clonal Evolution of Acute Myeloid Leukemia” at the American Association for Cancer Research Frontiers in Cancer Science conference, November 5-7, in Singapore.

Joseph Sparano, MD, is giving two presentations at the 23rd Annual School of Breast Oncology, taking place November 6-8 in Atlanta.

  • “Considerations in Systemic Therapy for Early-Stage Triple Negative Breast Cancer”
  • “The Art and Science of Managing HER2-Negative Metastatic Breast Cancer”



Use code SOBOSAP for free registration.


Breast surgeon Tristen S. Park, MD, is giving two presentations at the Taipei International Breast Cancer Symposium, October 25-26:

  • “Modifiable Risk Factors for Breast Cancer”
  • “Global Perspectives: Navigation Career Pathways in Breast Cancer Treatment for Young Doctors”

17th International Congress on Myeloproliferative Neoplasms

November 6-7

New York Marriott at the Brooklyn Bridge

 

Faculty from Mount Sinai: John Mascarenhas, MD; Ronald Hoffman, MD; Kathryn Johnson, DNP, MSc, FNP-BC

 

Use MPNVIP25 for complimentary registration 

The Chemotherapy Foundation Symposium will be held November 12-14 at the New York Hilton Midtown. John Mascarenhas, MD, is Program Co-Chair.



Information and Registration (Use code MASCARENHAS for free registration)

The Tisch Cancer Institute Cancer Survivorship Retreat

November 20, 1-5 pm

Hess, Seminar Room A 



Abstract Submission

MOUNT SINAI CANCER IN THE NEWS - CLICK HERE

Do you have news for the next issue of TCI Connections


Please send to Janet.Aronson@mountsinai.org.


Remember to share breaking news and high impact news that might be appropriate for media coverage with Diego Ortiz Quintero in the Press Office. This may include pending FDA drug/device approvals, studies/trial results being published in high-impact journals, and patient stories. The more lead time you can give Diego, the better—ideally, four weeks or when a paper is accepted by the journal. Embargoes will always be honored and news will only be released with your approval. Contact Diego at diego.ortizquintero@mountsinai.org or 201-572-5703.

Twitter  
  TCI Connections  is a monthly publication of The Tisch Cancer Institute
Ramon Parsons, MD, PhD, Director
Janet Aronson , Editor
Past issues of  TCI Connections  are available on the TCI website