YOUR FAMILY-FRIENDLY DENTAL HUB.

Celebrating 20 Years!

If you saw our trivia question in the last newsletter, now you know the answer! 2025 is Dr. Lisa's 20th year serving the Beverly and North Shore community at NSPDO! We are extremely excited for this amazing milestone. Thank you, Dr. Lisa, for your continued dedication to the Beverly community and the children you see every day. We look forward going into this year reflecting on all the amazing patients we've seen over the past twenty years, and getting excited for all the new patients to come! To celebrate Dr. Lisa's accomplishments, we have some exciting events and giveaways coming this year: stay on the lookout for more info!

REQUEST APPOINTMENT

Ceph It Up: Our X-Ray Feature Finale!


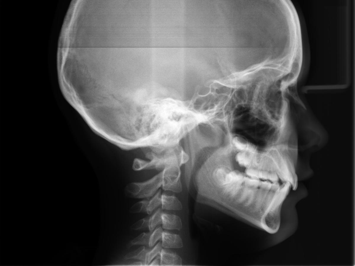
For our x-ray series, we've saved the best for last. If you've had an orthodontic consult, you may have taken a Cephalometric X-Ray, or "ceph," displayed below!

A single ceph image can tell us a lot of information. In dentistry, specifically orthodontics, cephs are used to check a patient's bite, also known as occlusion, as well overjet and overbite. These x-rays assist orthodontists in creating treatment plans to create a healthy and comfortable bite.


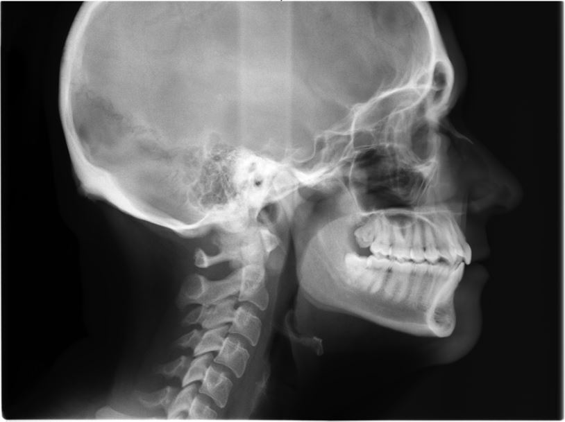
This is not the only thing cephs can tell us, though! This specific x-ray can also show us where the patient is in their stage of growth. Do you see the vertebrae in the x-ray above? Each one has a bit of a curve to it towards the bottom: this indicates the end of this patient's growth stage! If the vertebrae are more squared off, the patient is still experiencing stages of growth, which you can see in the example below.

Through the ceph above, we can see that this patient still has some growth spurts to look forward to, but not only does this particular ceph show the patient's growth, we can also see their airway. A huge benefit of cephs is the ability to see a patient's adenoids and their relation to a patient's airway, as seen in the image to the right.


Have you noticed your child tends to breathe through their mouth or snore at night? They could have enlarged adenoids, which can impact their ability to breath properly through the nose. A benefit of an ortho consult, especially at an early age, is catching these breathing and adenoid issues early on, allowing for early intervention with your child's PCP and an easier recovery period if surgery is required.


Overall, cephalometric x-rays are a huge benefit of an orthodontic consult, even if no treatment is needed. This x-ray is part of our complementary consult with Dr. Creech, and we are able to provide you with a copy should you need to share it with your PCP as well. We look forward to seeing you "ceph it up" in the office soon!

Get to Know: Jess


Role: Dental and Ortho Assistant


Favorite Children's Movie: The Little Mermaid


Favorite Color: Purple


Best Pizza Topping: Onions


Favorite Children's Book: The Day the Crayons Quit


What do you like to do outside of the office?: Running!



Referring a friend? If a new patient lists you as a referral source, you'll have the chance to receive a $25 Amazon Gift Card!

Meet The Tooth Fairy!

Our tooth fairy wall is looking amazing; a huge shout out to our talented patients!

Announcements


Staff Shout Out! One of our ortho assistants recently got accepted into dental school! Congratulations, Daphne! We're so proud of you!


Our dental office is booking out into April, and for afternoon appointments, into July. If you are looking to get an exam or cleaning soon, we can add you to our cancelation call list and let you know of any openings that pop up.


We have some new faces in the office! Welcome Kaleen and Evie, we're excited to have you on board!


We've recently changed how we take monthly orthodontic payments. We appreciate your patience as we switch over to this more convenient system, which will allow more flexibility with payment options.

Ask the kids! Best dessert?
Ice Cream
Pie
Cookies
Brownies
Cake

Last Poll Result: Showing our competitive spirit with Snowball Fights winning last month's poll!

Need help finding the office? Refer to the map below, or give us a call during our office hours; we're happy to walk you through it!

GET IN TOUCH

(978) 236-1188

pedo@nspdo.com

Dental Office Hours:

Monday through Thursday: 8:00 AM to 5:00 PM

Ortho Office Hours:

Monday, Wednesday, Thursday: 8:00 AM to 5:00 PM

CONTACT US
Facebook  Instagram
How did you like this email?
Positive            Neutral            Negative